Хирурги многопрофильной городской больницы скорой медицинской помощи Петропавловска удалили гвоздь из шеи 51-летнего мужчины.
Мужчина обратился в больницу с раной за ухом. Он объяснил, что по время ремонта по неосторожности получил травму гвоздём из пневматического пистолета.
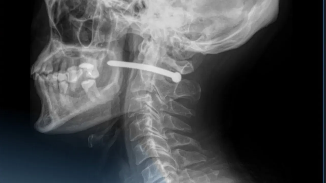
Пациенту сделали рентген и увидели, что гвоздь прошёл рядом с шейным отделом позвоночника.
"Мужчине чудом повезло – жизненно важные структуры не были задеты. Челюстно-лицевые хирурги провели удаление инородного тела, ревизию и обработку раны", – сообщили в больнице.
После наложения швов и стерильной повязки мужчину отпустили домой.
"Травмы в области шеи крайне опасны – рядом проходят крупные сосуды, нервы, дыхательные пути и спинной мозг. Даже небольшое повреждение может привести к серьёзным последствиям", – отметили в больнице и призвали казахстанцев соблюдать технику безопасности.
Ранее сообщалось, что 38-летний житель Шымкента на спор проглотил 26 ручек целиком. Врачи оперировали спорщика около двух часов. Эндоскопическим методом специалисты аккуратно извлекли из желудка все 26 ручек.
-
1🐕 Алматинцам посвятили скульптуру за спасение собаки на Сайране
-
3854
-
4
-
122
-
-
2🟢Добраться на аэротакси из Алатау до Алматы можно будет за 10 минут – Бозумбаев
-
3403
-
7
-
100
-
-
3🏠 Аномалия на рынке жилья в Казахстане: спад продаж не повысил спрос на аренду квартир
-
2717
-
2
-
14
-
-
4🔬⚛️ Президент Токаев заявил о приоритете науки и искусственного интеллекта на встрече в КазНУ
-
2626
-
0
-
164
-
-
5💬 Практической отдачи от финансирования науки пока нет – Токаев
-
2643
-
4
-
36
-
-
6🔖 От смелых замыслов к реальным результатам – семь лет президентства Касым-Жомарта Токаева
-
2317
-
3
-
113
-
-
7🌥 Прогноз погоды на 21 марта: туман ожидается почти по всему Казахстану, гололёд – на севере
-
2392
-
5
-
5
-
-
8👮♂️ Бывшего главврача больницы в Жамбылской области подозревают в многомиллионном хищении
-
2369
-
6
-
18
-
-
9😔Умер американский актёр Чак Норрис
-
2389
-
5
-
79
-
-
10🎫 Когда начнут продавать железнодорожные и авиабилеты на Алаколь
-
2326
-
0
-
9
-
USD:
481.1 / 484.1
EUR:
556.5 / 561.5
RUB:
5.85 / 6.05