К концу 2021 года в Великобритании может быть выявлено до 1 млн случаев нового штамма коронавируса "Омикрон". Об этом сообщается на сайте Агентства по безопасности в области здравоохранения (UKHSA).
Распространение "Омикрона" продолжает расти быстрыми темпами во всех регионах Великобритании.
"Исследования контактов показывают, что новый штамм передаётся более быстро, чем "Дельта". По оценкам UKHSA, если заражения "Омикроном" продолжат расти нынешними темпами, этот вариант станет доминирующим штаммом, на который к середине декабря будет приходиться более 50% всех случаев заражения Covid-19 в Великобритании. По прогнозам, если текущие тенденции останутся неизменными, к концу этого месяца в Великобритании будет больше миллиона случаев инфицирования "Омикроном", – говорится в сообщении.
При этом в агентстве подчеркнули, что на сегодняшний день нет ни одного умершего или госпитализированного с тяжёлым течением болезни, вызванным штаммом "Омикрон".
Всего с начала пандемии в Великобритании было зарегистрировано 10,7 млн случаев заражения Covid-19, умерли более 146 тысяч человек.
Читайте также:
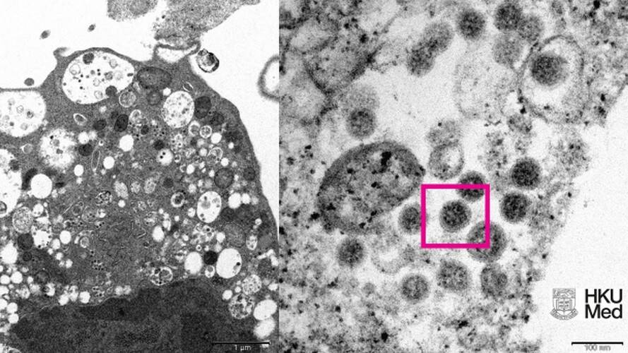
- Изображение штамма "Омикрон" опубликовали учёные из Гонконга
- "Дело времени". Появление штамма "Омикрон" в Казахстане спрогнозировал Бекшин
- Pfizer: Для нейтрализации "Омикрона" нужно три дозы вакцины
- В Австралии обнаружили новую разновидность штамма "Омикрон"
-
1🗳 Референдум-2026: пошаговое руководство для избирателей
-
4966
-
0
-
106
-
-
2📸 На платном участке трассы Шымкент – Тараз начали фиксировать нарушения средней скорости
-
3713
-
5
-
23
-
-
3🧑💻 36 человек отстранили за нарушения на мартовском ЕНТ в первую неделю
-
3268
-
0
-
13
-
-
4🏫❄️ Школьники не успевают писать СОЧи из-за отмены занятий: что говорят в Минпросвете
-
3271
-
2
-
13
-
-
5📹💬 За репост какой информации в соцсетях будут наказывать в Казахстане
-
2940
-
2
-
30
-
-
6😱 Группа школьниц избила девятиклассницу в Таразе: наказание пока ограничилось штрафами и постановкой на учёт
-
2993
-
3
-
51
-
-
7👮♂️ Новые виды нарушений начали фиксировать камеры на дорогах Казахстана
-
2933
-
7
-
28
-
-
8💻 Школьников первой смены Астаны вновь отправили на дистанционку
-
2986
-
0
-
11
-
-
9🇨🇳 Китай принимает закон об "этническом единстве". Как он изменит контроль над меньшинствами?
-
2912
-
3
-
38
-
-
10🌐 ИИ-ассистенты и помощь в оценке работ: 200 тысяч педагогов получат доступ к ChatGPT Edu в Казахстане
-
2981
-
0
-
30
-
USD:
489.5 / 492.3
EUR:
561.0 / 566.0
RUB:
6.07 / 6.19
Комментарии
Пока нет комментариев…